Arthrose des Hüftgelenks
Eine häufige Ursache für Hüftschmerzen ist die verschleißbedingte Erkrankung des Gelenks, die sogenannte Coxarthrose. Dabei nimmt der schützende Gelenkknorpel zwischen der Hüftpfanne im Beckenknochen und dem Hüftkopf am Oberschenkelschaft Schaden. Reißt die Knorpelschicht stellenweise ein und raut sich auf, erhöht sich der Druck, der bei Bewegung auf die Knochen wirkt.
Im Alltag äußert sich eine Hüftarthrose oftmals durch Anlaufschmerzen, Einknicken bei längerem Gehen, Schmerzen beim Abwärtssteigen von Stufen sowie Schmerzen in der Leiste der betroffenen Gelenkseite.
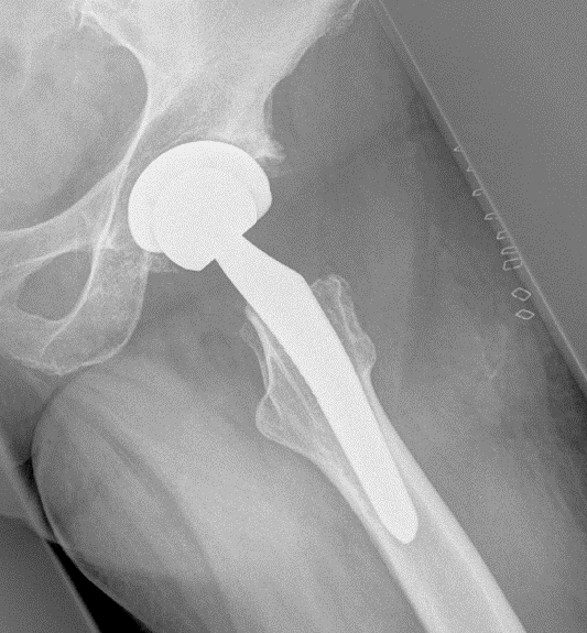
Ist der Verschleiß des Hüftgelenks weit fortgeschritten, kann ein künstlicher Gelenkersatz Beschwerden reduzieren.
Diagnostik
Grundlage für eine erfolgreiche Behandlung des schmerzenden Gelenks ist die genaue Untersuchung des Patienten. Hierfür erfragen die Ärzte der Orthopädie in einem Gespräch zunächst Details über den Krankheitsverlauf, über Vorerkrankungen und Lebensgewohnheiten.
Der nächste Schritt ist eine körperliche Untersuchung. Dabei sieht sich der behandelnde Arzt den Gang und die Körperhaltung des Patienten an. Dadurch können Fehlstellung und Schonhaltungen, die zu Beschwerden führen, erkannt werden. Auch die Beweglichkeit der Gelenke wird in diesem Zusammenhang überprüft. Diese lässt je nach Bewegungseinschränkungen bereits auf die Schwere der Hüftarthrose schließen.
Darüber hinaus geben verschiedene bildgebende Verfahren Aufschluss über die Gelenksituation des Betroffenen. Hierzu zählen unter anderem Röntgenaufnahmen. Ist darauf zu erkennen, dass der Abstand zwischen der Hüftpfannen und dem Hüftkopf verschmälert ist, lässt sich daraus schließen, dass der Gelenkknorpel zwischen den Knochen beschädigt bzw. abgerieben ist. Mittels einer Ultraschalluntersuchung (Sonographie) lassen sich die Weichteile wie Muskeln, Bänder und Gelenkflüssigkeit darstellen. Die Magnetresonanztomographie bildet hingegen Bänder, Muskeln und auch den Knorpel ab.
Behandlung

Erhärtet sich der Verdacht einer weit fortgeschrittenen Hüftarthrose, wählt der behandelnde Arzt ein für den Patienten geeignetes Implantat aus. Im Cellitinnen-Krankenhaus Maria-Hilf kommt eine Vielzahl an Prothesenarten zum Einsatz, die an die individuellen Faktoren angepasst sind. Alle Auswahlmöglichkeiten werden in der Regel minimal-invasiv durch die AMIS-Operationstechnik eingesetzt. Das bedeutet, dass Muskeln und Sehnen nicht durchtrennt, sondern lediglich beiseitegeschoben werden. Für Patienten hat das den Vorteil, dass sich die Genesungsdauer deutlich verkürzt und kosmetisch unauffällige Narben zurückbleiben. Darüber hinaus lassen sich verschiedene Möglichkeiten der Prothesenverankerung unterscheiden.
Zementfreie Prothese
Eine zementfreie Prothese kommt besonders für Patienten zwischen 60 und 80 Jahren mit einem gesunden Knochenstoffwechsel in Frage. Dabei werden die beschädigte Hüftpfannen und der Hüftkopf künstlich nachgebildet und mit dem Knochen verpresst. Indem das gesunde Knochengewebe mit der Zeit an die Prothese festwächst, entsteht eine feste und dauerhafte Einheit. Patienten können das Gelenk bereits unmittelbar nach der Operation voll belasten.
Zementierte Prothese
Bei der zementierten Prothese kommt ein spezieller, schnell aushärtender Knochenzement zur Anwendung, der das Kunstgelenk mit dem Knochen verbindet. Ein Vorteil dieser Befestigungsart ist, dass sie auch bei schwachem Knochen eine primäre Stabilität bietet. Besonders für Patienten, deren Knochenstruktur Schäden aufweist, beispielsweise durch Osteoporose, ist diese Art der Befestigung geeignet.
Hybridprothese
Die Hybridprothese bezeichnet eine Kombination aus zementfreiem und zementiertem Implantat. Dabei wird die Gelenkpfanne in der Regel zementfrei fixiert, während der Prothesenschaft mit Zement im Oberschenkelknochen verankert wird.
Um zur Qualitätsverbesserung der bundesweit implantierten Endoprothesen beizutragen, nehmen wir am Endoprothesenregister Deutschland (EPRD) teil. Indem wir anonymisierte Informationen zu verwendeten Implantaten, Operationsverfahren und Operateuren übermitteln, helfen wir, eine langfristige Datengrundlage zu implantierten Kunstgelenken aufzubauen. Anhand dieser soll die Qualität der Produkte beurteilt, das Behandlungsergebnis gesichert und die Zahl der Wechseloperation verringert werden.
Nachbehandlung
Durch die schonenden Operationsverfahren, die das Team der Orthopädie im Cellitinnen-Krankenhaus Maria-Hilf anwendet, können Patienten bereits am Tag ihrer Operation mit ersten Bewegungsübungen am Bett beginnen. Die erfahrenen Physiotherapeuten unterstützen sie dabei.
Von der ersten Mobilisierung an können und sollen Patienten das behandelte Gelenk voll belasten. Unterarmgehstützen bieten den Patienten in den ersten vier Wochen nach dem Eingriff zusätzliche Sicherheit.
Wechseloperation
Die Behandlung von Beschwerden aufgrund eines bereits vorhandenen Implantats ist eine große Herausforderung. Muss eine Hüftgelenksendoprothese aufgrund von Infektionen, Frakturen oder Lockerungen gewechselt werden, sind eine sorgfältige Diagnostik und Vorbereitung sowie eine präzise Therapieplanung nötig. Aufgrund einer engen interdisziplinären Zusammenarbeit mit den anderen Fachabteilungen des Cellitinnen-Krankenhaus Maria-Hilf, sowie mit verschiedenen Speziallabors ist es den Orthopäden auch hier möglich unter Einsatz modernster Revisionsendoprothesen ein optimales Ergebnis zu erzielen.


Impingement-Syndrom
Das Impingement-Syndrom ist eine Erkrankung, die durch eine dauerhafte und einseitige Belastung oder aber anlagebedingt entstehen kann. Dabei stehen Schenkelhals und Gelenkpfanne in einem Missverhältnis zueinander. Durch diese anatomische Fehlstellung entsteht ein knöcherner Kontakt, bei dem die Gelenklippe, das sogenannte Labrum eingeklemmt wird. Das ist für den Betroffenen sehr schmerzhaft und führt zu Einrissen in der Gelenklippe und im Knorpel, die wiederum Arthrose bedingen.
Diagnostik
Die Diagnostik des Impingements der Hüfte besteht in einer ausführlichen, körperlichen Untersuchung. Hierbei können spezifische, klinische Tests erste Hinweise liefern. Die Röntgen- und MRT-Diagnostik des Hüftgelenks kann den Verdacht in der Regel erhärten, da hier das knöcherne Missverhältnis zwischen Hüftkopf und -pfanne sowie die Verletzung der bindegewebigen Gelenklippe dargestellt werden können.
Behandlung
Das Impingement-Syndrom lässt sich mittels eines minimal-invasiven (arthroskopischen) Eingriffs mit einer knöchernen Dekompression behandeln. Dabei kommen spezielle Fadenanker zum Einsatz, mithilfe derer die Gelenklippe rekonstruiert werden kann. Außerdem entfernt der Operateur mittels minimal-invasiver Frästechnik überschüssigen Knochen am Schenkelhals und Hüftkopf, sodass das Missverhältnis zwischen Hüftkopf und Gelenkpfanne behoben wird. Im günstigsten Fall lässt sich so die Entstehung einer Arthrose des Hüftgelenks verhindern oder zumindest verlangsamen.
Nachbehandlung
Nach dem Eingriff dürfen Patienten das behandelte Bein drei Wochen lang nur teilweise belasten, bevor sie schrittweise zur Vollbelastung übergehen. Gezielte Bewegungsübungen unter Anleitung eines Physiotherapeuten unterstützen den Genesungsprozess zusätzlich.