Knie

Das Kniegelenk ist das größte Gelenk im menschlichen Körper und kommt bei jeder Bewegung zum Einsatz. Deshalb ist es auch das am meistbeanspruchteste Gelenk und anfällig für Schmerzen, Bewegungseinschränkungen oder Fehlstellungen. Es setzt sich aus zwei einzelnen Gelenken zusammen, die im Zusammenspiel ermöglich, das Bein zu beugen, zu strecken und kreisen zu lassen. Dazu zählen das Kniekehlgelenk, das Oberschenkelknochen und Schienbein miteinander verbindet, sowie das Kniescheibengelenk, das den Oberschenkelknochen mit der Kniescheibe verbindet. Muskeln und Sehnen, Gelenkkapseln und -knorpel sowie die Menisken stabilisieren diese Konstruktion. Gerät die allerdings aus dem Gleichgewicht, sind Schmerzen die Folge.

In unserer orthopädischen Fachabteilung in Bergheim diagnostizieren und behandeln wir Kniebeschwerden – von Arthrose und Knorpelverletzungen über Meniskus- und Kreuzbandverletzungen bis hin zum künstlichen Kniegelenk(Knieprothese). Mit präziser Diagnostik, individueller Therapieplanung und schonenden Operationstechniken ermöglichen wir Ihnen Mobilität und Lebensqualität zurück.

  • Arthrose
  • Knorpelverletzung
  • Meniskusverletzung
  • Kreuzbandverletzung
  • Achsfehlstellung

Arthrose des Kniegelenks

Häufig liegen Knieschmerzen Verschleißerscheinungen, die sogenannte Gonarthrose, zugrunde. Diese kann durch Unfälle, (Sport)Verletzungen, Fehlstellungen oder altersbedingten Verschleiß entstehen. Dabei wird der Gelenkknorpel, der die Gelenkpartner vor Reibung schützt und als Stoßdämpfer für Bewegungen dient, beschädigt. Dadurch ist der reibungslose Bewegungsablauf nicht mehr möglich.

Eine Kniearthrose äußert sich zunächst durch „Anlaufschwierigkeiten“, also Schmerzen bei Beginn einer Gehbewegung. Entsprechend der Schwere des Gelenkschadens kommen außerdem andauernde Belastungsschmerzen sowie bei einer weit fortgeschrittenen Arthrose auch Ruheschmerzen hinzu. Das wiederum führt zu Bewegungseinschränkungen, die die Lebensqualität der Betroffenen schmälern.

Wenn konservative Maßnahmen wie schmerz- und entzündungshemmende Medikamente keinen Erfolg mehr versprechen, ist der künstliche Ersatz des betroffenen Gelenks Mittel der Wahl. Dadurch können der natürliche Bewegungsablauf des Gelenks wiederhergestellt und die Schmerzen langfristig gelindert werden.

Diagnostik

Um sich im Vorfeld einer Operation ein Bild von der Gelenksituation zu machen und den Gelenkersatz genau an die Anatomie des Patienten angleichen zu können, werden verschiedene Untersuchungen durchgeführt. Dazu zählt unter anderem eine exakte Beinvermessung mit Aufnahmen des gesamten Beines. Diese ist erforderlich, um notwendige Achskorrekturen planen zu können und die genaue Größe des Implantats bestimmen zu können.

Behandlung

Wenn die Untersuchungen ergeben, dass der künstliche Ersatz des schmerzenden Knies erforderlich ist, lässt sich zwischen drei verschiedenen Prothesenarten wählen: dem Teilgelenkersatz, dem ungekoppelten Oberflächenersatz und der achsgeführten Prothese.

 

Behandlung von Arthrose des Kniegelenks durch TeilgelenkersatzTeilgelenkersatz

Ein Teilgelenkersatz, auch Schlittenprothese genannt, kommt zum Einsatz, wenn nur ein Teil des Gelenks verschlissen ist. In diesem Fall wird der betroffene Knochen überkront und die natürliche Anatomie des Patienten nachgebildet. Da die Orthopädie das Ziel hat, das Gelenk mit so wenig Material wie nötig zu unterstützen, ist die Schlittenprothese eine gute Lösung, wenn die Qualität der Knochensubstanz einen solchen Ersatz zulässt.

 

Behandlung der Arthrose des Kniegelenks durch ungekoppelten OberflächenersatzUngekoppelter Oberflächenersatz

Wenn mehr als ein Teil des Gelenks beschädigt ist, wird ein vollständiger Oberflächenersatz eingesetzt. Ähnlich wie beim Teilgelenkersatz werden alle im Gelenk aufeinandertreffenden Knochen überkront und die natürliche Form wiederhergestellt. Diese Art der Prothese kann genutzt werden, wenn die Bandstrukturen des Patienten intakt sind und das Knie ohne zusätzliche Unterstützung stabilisieren können.

 

Behandlung von Arthrose des Kniegelenks durch achsführenden GelenkersatzAchsgeführter Gelenkersatz

Sind die bewegungsführenden Bänder im Kniegelenk stark beschädigt, sodass sie ihre stabilisierende Funktion verlieren, kann es zu Fehlstellungen der Beine (X-Beine oder O-Beine) kommen. In diesem Fall verspricht eine achsführende Prothese eine Verbesserung der Gelenksituation. Bei dieser Prothesenart handelt es sich um eine Erweiterung des überkronten Oberflächenersatzes. Dabei werden neben der natürlichen Knochenform auch die stabilisierenden Bänder rekonstruiert.

Die Gelenkflächen bestehen in der Regel aus einem gut verträglichen Metall wie zum Beispiel Titan. Die Gleitfläche zwischen den Gelenkpartnern wird mit hochbelastbarem Kunststoff ausgestattet, um die Wirkung des Gelenkknorpels als natürliche „Stoßdämpfer“ nachzubilden. Die Prothesen werden anders als an der Hüfte und der Schulter ausschließlich mit speziellem Knochenzement auf dem Ober- bzw. Unterschenkelknochen fixiert. Der Grund hierfür ist die anatomische Besonderheit und die starke Belastung des Gelenks im Alltag.

Über eine computergestützte, präoperative Planung, die sich an den individuellen, anatomischen Gegebenheiten des Patienten orientiert, sowie einer schonenden Operationstechnik kann das Team der Orthopädie ein ideales Operationsergebnis erreichen. Die Prothesen zeichnen sich darüber hinaus durch eine lange Lebensdauer aus. Durchschnittlich mehr als fünfzehn Jahre können diese ohne Lockerung im Gelenk verweilen.

Die Sicherheit der Patienten steht bei jedem Eingriff an erster Stelle. Um Infektionen gezielt vorzubeugen, erhalten alle Patienten, bei denen ein endoprothetischer Gelenkersatz geplant ist, im Rahmen der präoperativen Vorbereitung ein Set für die Konditionierung der Haut und Schleimhäute. Dadurch lässt sich das Risiko für eine postoperative Infektion deutlich verringern.

Zur Qualitätsverbesserung der bundesweit implantierten Endoprothesen nehmen wir außerdem am Endoprothesenregister Deutschland (EPRD) teil. Indem wir anonymisierte Informationen zu verwendeten Implantaten, Operationsverfahren und Operateuren übermitteln, helfen wir, eine langfristige Datengrundlage zu implantierten Kunstgelenken aufzubauen. Anhand dieser soll die Qualität der Produkte beurteilt, das Behandlungsergebnis gesichert und die Zahl der Wechseloperation verringert werden.

Nachbehandlung

Um die Wirkung der Operation im Nachgang bestmöglich zu begleiten, erfolgt bereits am ersten Tag nach dem Eingriff eine Mobilisierung durch einen Physiotherapeuten. Die angewandten Übungen können direkt unter voller Belastung und bei freiem Bewegungsumfang des Gelenks durchgeführt werden. Neben Mobilisierungsübungen wie dem Gehen an Unterarmgehstützen unter Vollbelastung sowie Treppensteigen und speziellen Kraftübungen, ist auch die passive Bewegungstherapie mittels motorisierter Bewegungsschiene Teil der postoperativen Behandlung.

Aufgrund minimalinvasiver, gewebeschonender OP-Techniken und den damit verbundenen minimalen Nachblutungen, können wir vollständig auf den Einsatz von Wunddrainagen verzichten. Dies führt ebenfalls zu einer frühestmöglichen Mobilität und senkt das postoperative Infektionsrisiko.

Im Anschluss an die physiotherapeutische Behandlung im Krankenhaus folgt ein mehrwöchiger Aufenthalt in einer Rehabilitationsklinik. Nach rund vier Wochen ist das vollständig freie Gehen ohne Unterarmgehstützen möglich.

Knorpelverletzung

Es sorgt für Flexibilität und gibt gleichzeitig Standfestigkeit: das Knie ist eines der wichtigsten Gelenke des menschlichen Körpers. Weil wir es täglich beanspruchen, leidet darunter die Knorpelschicht – und das verursacht Schmerzen.

Der Knorpel befindet sich an den Enden des Oberschenkelknochens und des Schienbeins und verhindert, dass die Knochen bei Bewegung aneinander reiben. Gleichzeitig dient er als Stoßdämpfer, beispielsweise beim Gehen, Laufen und Springen.

Kommt es zu Über- oder Fehlbelastungen durch Haltungsschäden, Übergewicht oder Sportarten mit schnellen Richtungswechseln, können Verletzungen im Knorpel entstehen. Auch Verschleiß oder Durchblutungsstörungen können Knorpelschäden hervorrufen. Diese machen sich durch Schmerzen und ggf. Schwellungen bemerkbar, die mit der Zeit zunehmen. Anders als andere Gewebe kann Knorpel kaum von alleine nachwachsen. Umso wichtiger ist es daher, den Schaden frühzeitig zu behandeln.

Diagnostik

Röntgenaufnahme eines Knorpeldefekts am KniegelenkUm eine Knorpelverletzung feststellen beziehungsweise ausschließen zu können, greifen die Orthopäden im Cellitinnen-Krankenhaus Maria-Hilf auf moderne, diagnostische Bildgebung zurück. Häufig kommen dafür spezielle Röntgenaufnahmen sowie die Magnetresonanztomographie (MRT) zum Einsatz. Die Ergebnisse über die Größe der Läsionen ist entscheidend, wie der Knorpelschaden behandelt werden kann (konservativ vs. operativ).

Behandlung

Je nach Schwere der Verletzung wenden die Orthopäden im MHK verschiedene Verfahren der Knorpelregeneration an. So können Knorpelschäden stadiengerecht therapiert werden. Die Behandlungen erfolgen minimal-invasiv und verfolgen das Ziel, die vollständige und schmerzfreie Belastbarkeit des Gelenks wiederherzustellen.

Nachbehandlung

Um den Genesungsprozess zu unterstützen sollte das Kniegelenk zunächst entlastet werden. Am ersten Tag nach der Operation können Patienten unter Anleitung eines Physiotherapeuten erste Bewegungsübungen ausführen. Unterarmgehstützen geben ihnen in den ersten sechs bis acht Wochen Stabilität und Sicherheit.

Meniskusverletzung

Neben der schützenden Knorpelschicht dient auch der Meniskus als Stoßdämpfer des Knies. Er federt die Erschütterungen des Körpers bei jedem Schritt ab und verringert so den Druck auf die Knochen, die Bänder und das Gelenk. Ist der Meniskus beschädigt, leiden Betroffene häufig unter Knieschmerzen.

Zu Verletzungen an der Sehne kommt es in der Regel durch Abnutzung oder Unfälle, beispielsweise beim Sport. Tägliche Beanspruchung führt dazu, dass der Meniskus mit der Zeit an Elastizität verliert. Dadurch können Risse entstehen. Beim Sport drohen hingegen Traumata. Die häufigsten Verletzungen sind das Verdrehen mit der Folge eines Ein- oder sogar Ausreißens des Meniskus.

Ein Meniskusschaden ist nicht nur sehr schmerzhaft und schränkt die Beweglichkeit des Knies ein. Wenn er nicht ausreichend behandelt wird, droht auch das Risiko eines irreparablen Schadens, bis hin zu einer Arthrose des Kniegelenks.

Diagnostik

Bei Verdacht auf eine Meniskusverletzung kann eine Magnetresonanztomographie (MRT) Klarheit schaffen. Dabei wird das  Weichteilgewebe des Knies, also die Bänder, Menisken und Muskeln, hochauflösend dargestellt. Anhand der Aufnahmen kann der behandelnde Arzt beurteilen, ob beziehungsweise welcher Teil des Meniskus Schmerzen verursacht.


intakter vs. gerissener Meniskus

 

Behandlung

Ist der Meniskus beschädigt, gibt es verschiedene Möglichkeiten, diesen minimal-invasiv (arthroskopisch) zu behandeln. Je nach Grad der Verletzung erfolgt entweder eine teilweise Entfernung oder – noch besser – eine Rekonstruktion durch spezielle Nahttechniken. Ziel der Behandlung ist es, die Funktion des betroffenen Meniskus vollständig wiederherzustellen.

Intraoperative Aufnahme eines gerissenen Meniskus  Intraoperative Aufnahme einer Meniskusnaht
Gerissener Meniskus                                                                                  Meniskusnaht

Nachbehandlung

Die Nachbehandlung unterscheidet sich je nach Behandlungsgrad: Bei einer Teilentfernung des Meniskus (Teilresektion) kann der Patient sein Knie entsprechend des individuellen Schmerzempfindens direkt nach dem operativen Eingriff voll belasten. Bei einer Naht oder einer Refixation beginnt der Patient mit einer Teilbelastung über 6 bis 10 Wochen. Unterstützend kommt eine stabilisierende Kniegelenksorthese zum Einsatz. 

Kreuzbandverletzung

Das hintere und vordere Kreuzband sind die wichtigsten und zentralen Stabilisatoren im Knie. Sie schützen das Gelenk vor einer übermäßigen Rotationsbewegung. Häufig entstehen Verletzungen des Kreuzbandes durch Drehbewegungen, zum Beispiel bei schnellen Richtungswechseln. Dabei können die Bänder reißen. In der Folge verliert das Knie an Stabilität und auch die Belastbarkeit des Gelenks wird stark eingeschränkt. Auf lange Sicht kann eine unbehandelte Kreuzbandverletzung sogar zu einer Arthrose führen, da Knorpel und Menisken stärken belastet werden.

Diagnostik

Ob eine Verletzung des Kreuzbandes vorliegt, lässt sich oftmals schon mittels verschiedener Bewegungstests feststellen. Darüber hinaus liefert die Magnetresonanztomographie (MRT) eine präzise Darstellung der Verletzung. Besteht ein Verdacht auf einen Kreuzbandriss sollte das Knie außerdem geröntgt werden, um mögliche Knochenbrüche frühzeitig erkennen und behandeln zu können.

Behandlung

Je nach Schweregrad der Kreuzbandverletzung kann eine Sehnentransplantation erforderlich sein. Dabei entnimmt der behandelnde Arzt im Rahmen eines minimal-invasiven (arthroskopischen) Eingriffs zunächst eine gesunde Sehne aus dem Körper. Häufig handelt es sich dabei um die Semitendinosussehne am hinteren Oberschenkel. Diese wird in einem nächsten Schritt als Teil des neuen Kreuzbandes eingesetzt.

Nachbehandlung

Nach dem operativen Eingriff darf das Knie nur teilweise belastet werden. Ein spezielles krankengymnastisches Übungsprogramm unterstützt Patienten dabei, die Muskulatur des Beines gezielt zu stärken, und fördert die Beweglichkeit.

Achsfehlstellung

Eine starke Abnutzung des Knorpels im Kniegelenk kann verschiedene Ursachen haben, darunter auch Fehlstellungen der Ober- und Unterschenkelknochen. Unfälle aber auch angeborene Ungleichgewichte können dazu führen, dass das Gelenk einseitig belastet wird und schneller verschleißt.

Die häufigste Fehlstellung des Knies ist das O-Bein, auch Genu varum genannt. Dabei kippen der Oberschenkel- und Unterschenkelknochen zur Außenseite des Beins, wodurch mehr Gewicht auf der Innenseite des betroffenen Gelenks ruht. Die Folge: die schützende Knorpelschicht nutzt sich auf der belasteten Seite übermäßig ab.

Das Gegenstück hierzu ist das X-Bein, auch Genu valgum genannt. Anders als beim O-Bein, kippt das betroffene Gelenk in diesem Fall zur Beininnenseite. Dadurch entsteht ein verstärkter Abrieb des Knorpels an der Außenseite des Gelenks.

Beide Fehlstellungen können mit der Zeit zu Beschwerden führen. Mit einer Korrektur der Beinachse, einer Umstellungsoperation, lässt sich dem jedoch gezielt entgegenwirken.


                       O-Bein vs. X-Bein

Diagnostik

Liegt eine symptomatische Fehlstellung der Beinachse vor, wird diese mit speziellen Röntgentechniken objektiviert. Eine Kernspintomografie (MRT) zeigt darüber hinaus mögliche Begleitverletzungen. Anhand einer Ganzbeinaufnahme lässt sich die Fehlstellung präzise ermitteln und die Korrektur computergestützt planen.


O-Bein präoperativ

Behandlung

Je nach Art der Fehlstellung konzentriert sich die Anpassung auf den Ober- bzw. den Unterschenkelknochen. O-Beine erfordern meist eine Behandlung des Unterschenkelknochens, X-Beine des Oberschenkelknochens.

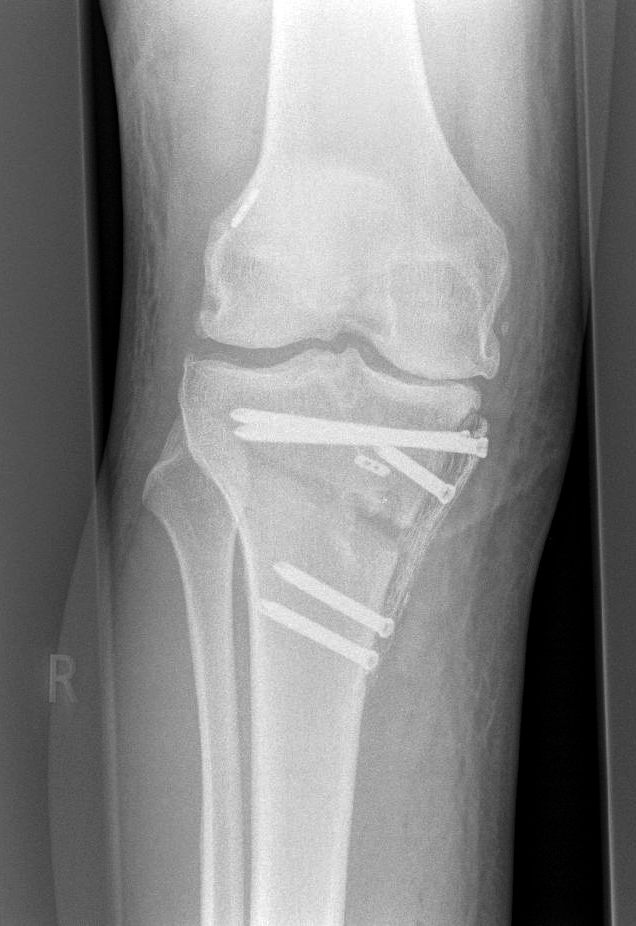
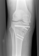
Um die Ausrichtung des Kniegelenks zu verändern, sägt der Operateur teilweise in den Ober- bzw. Unterschenkelknochen hinein und „klappt“ diesen auf, sodass ein Spalt im Knochen entsteht. Mit Hilfe des dadurch erzeugten Winkels kann der Arzt die Fehlstellung ausgleichen. Stabilisiert wird die Korrektur – ähnlich wie nach einem Knochenbruch – durch eine Platte und mehrere Schrauben, die nach sechs bis zwölf Monaten wieder entfernt werden können.

Röntgenbild eines Beines im Kniebereich
Korrigierte O-Beinstellung durch Neuausrichtung des Schienbeins (tibiale Kniegelenknahe Osteotomie)

 

Nachbehandlung

Schon unmittelbar nach der Operation können Patienten ihr behandeltes Gelenk wieder aktiv und passiv bewegen. Unterstützung erhalten sie dabei von den speziell geschulten Physiotherapeuten des MHK. Nach rund sechs bis acht Wochen ist der Knochen so weit verheilt, dass eine volle Belastung des Knies möglich ist.

 

Häufige Fragen zur Kniegelenks-OP

 Kann ich mit einer Kniearthrose auch ohne Operation leben?

In frühen Stadien ja. Durch gezielte Physiotherapie, Schmerztherapie und Gewichtsreduktion lassen sich Beschwerden oft lindern. Bei fortgeschrittener Arthrose ist eine OP häufig die nachhaltigste Lösung für schmerzfreie Bewegung.

Wann ist eine Knieprothese wirklich notwendig?

Eine Knieprothese wird in der Regel empfohlen, wenn starke Knieschmerzen den Alltag dauerhaft einschränken und konservative Behandlungen wie Medikamente oder Physiotherapie nicht mehr helfen.

Welche Arten von Knieprothesen gibt es und wann werden sie eingesetzt?

Es gibt verschiedene Formen der Knieendoprothese, die individuell angewendet werden:

  • Teilprothese, z.B. medialer Schlitten: bei Teildefekten, gesunde Gelenkanteile werden erhalten

  • Achsgeführte Prothesen: bei groben Fehlstellungen, reduzierter Knochenqualität oder Bandinstabilitäten

  • Vollprothese/Totalendoprothese (TEP): künstlicher Ersatz der gesamten Gelenkoberfläche, Standard bei (fortgeschrittener) Arthrose

  • Zementfreie Prothese: bei guter Knochenstruktur, da sie im Knochen einwächst

  • Zementierte Prothese: bei verminderter Knochenqualität

Die Wahl der passenden Knieprothese erfolgt individuell anhand diverser Kriterien wie Aktivitätsniveau, Knochenqualität, Art und Ausmaß der Gelenkschädigung Begleiterkrankungen und anatomische Gegebenheiten.

Wie lange dauert der Krankenhausaufenthalt und die Regenerationszeit bei einem Kniegelenksersatz?

Die Aufenthaltsdauer nach dem Einsetzen eines künstlichen Kniegelenks bzw. Gelenkersatzes ist individuell und abhängig von Alter, Allgemeinzustand und Fitness.
Im Regelfall haben Patienten bei uns im Bergheimer Krankenhaus einen durchschnittlichen Krankenhausaufenthalt von 5 Tagen (inklusive OP-Tag).
Anschließend erfolgt eine stationäre oder ambulante Reha mit zusätzlichen physiotherapeutische Maßnahmen (in Einzelfällen auch alternativ zur Reha, z.B. wenn man aus persönlichen Gründen nicht in Reha fahren kann). Die durchschnittliche, voraussichtliche Gesamtdauer des vollständigen Genesungsprozesses liegt bei ca. 12 Wochen.

Wie lange dauert die OP?

In der Regel dauert die OP eine bis anderthalb Stunden.
Vorab wird in einem individuellen Gespräch herausgefunden, welche Prothese in Anbetracht des Verschleißes und der anatomischen Voraussetzungen in Frage kommt (z.B. Teil-, Voll- oder achsführender Gelenkersatz). Die Art der Prothese kann die Dauer der Operation beeinflussen.

Wie läuft die OP ab?

Zunächst erfolgt ein möglichst kleiner Hautschnitt vorne auf dem betroffenen Knie. Nach der Eröffnung werden die zerstörten Gelenkoberflächen abgetragen.
Dann wird die Prothese eingebracht. Diese besteht meist aus drei Teilen (Oberschenkel-Anteil, Unterschenkel-Anteil und eine dazwischenliegende Kunststoffscheibe (= Inlay) als Meniskusersatz)
Vorab wurde die Prothese individuell via Computersoftware ausgemessen, sodass sie in exakter Position mit dem Knochen durch einen hauchdünnen Zementfilm (Zwei-Komponenten-Klebstoff) verankert wird.

Worauf muss ich nach der OP achten?

Achten Sie auf eine gleichmäßige Belastung beider Beine und vermeiden Sie ruckartige Bewegungen und starke Stoßbelastungen des Gelenks. 

Lassen Sie schwere Gegenstände lieber stehen oder sich von jemandem helfen. Wenn Sie etwas Tragen, verteilen Sie die Last gleichmäßig auf beide Seiten oder benutzen Sie einen Rucksack.

Verliere ich viel Blut während der OP?

In der Regel besteht ein geringer Blutverlust, sodass kein Einsatz von Blutkonserven notwendig ist. Ist erhöhter Blutverlust absehbar, wird ein Gerät eingesetzt, das das Blut des Patienten auffängt und filtert, sodass es zurückübertragen werden kann
Vorteil: weniger Blutkonserven werden benötigt und das Risiko für übertragbare Krankheiten (AIDS, Hepatitis C o. ä.) wird minimiert

Muss ich mit Schmerzen nach der OP rechnen?

Vollkommen schmerzfrei werden Sie höchswahrscheinlich nicht sein, aber das Schmerzempfinden ist sehr individuell und von Patient zu Patient unterschiedlich. Viele empfinden die Schmerzen nach der OP als deutlich geringer als die Beschwerden vor dem Eingriff.
Haben Sie keine Angst davor, wir stellen Sie gemeinsam mit der Abteilung für Anästhesie und Intensivmedizin mit unserem individuellen Schmerzmanagement so ein, dass Sie keine allzu großen Schmerzen spüren werden. Tag für Tag werden die Medikamente ausgeschlichen, sodass Sie zeitnah sowohl medikamenten- als auch schmerzfrei sein werden.

Zudem wenden wir bereits während der OP die sogenannte Lokale Infiltrationsanalgesie (LIA) an, ein modernes Schmerzmanagement-Verfahren, bei dem während der OP ein Lokalanästhetikum direkt ins Gewebe gespritzt wird. Somit werden Schmerzen direkt an der Entstehungsursache betäubt und der nachfolgende Bedarf an starken Schmerzmitteln kann vermindert werden.

Wann darf ich nach der OP duschen?

Sofern die Wunde trocken und reizlos ist, ist Duschen oder Baden ab dem 5. Tag nach der OP (mit dem bereits bestehenden Pflaster) möglich. Das Pflaster muss danach erneuert werden.
 

Wie schnell kann ich nach der OP wieder belasten (gehen, Auto fahren, arbeiten)?

Im Regelfall ist eine vollständige Belastung ab dem ersten Tag nach der Operation (sofern schmerzbedingt möglich) unter Anleitung der Physiotherapeuten möglich. Ruckartige Bewegungen sollten in den ersten Wochen vermieden werden.

In der Regel können Sie nach 6-8 Wochen wieder Auto fahren. Der genaue Zeitpunkt ist abhängig von Ihrem individuellen Genesungsprozess. Voraussetzung ist, dass Sie frei sind von Gehhilfen und Schmerzmedikamenten.

Wann Sie wieder arbeiten gehen können, hängt von Ihrer beruflichen Tätigkeit ab. Patienten, die im Homeoffice arbeiten, können z.B. schneller wieder ihre Arbeit aufnehmen als Patienten, die Baustellenfahrzeuge bedienen.

Darf ich Sport machen?

Ja, Sport ist gut für die Gelenke, das allgemeine Wohlbefinden und kann Übergewicht vorbeugen/entgegenwirken.

Empfehlenswert sind gelenkschonende Sportarten wie Radfahren, Wandern, Skilanglauf, Walking/Nordic Walking, Schwimmen (Brustschwimmen in den ersten 12 Wochen ohne Grätsche), Aquajogging, Aquawalking, Gymnastik

Bedingt empfehlenswert sind Sportarten wie Laufen auf weichem Boden, gesundheitsorientiertes Krafttraining, Golf, Tanzen, Kegeln/Bowling, da sie die Gelenke stärker beanspruchen.

Wie erfahre ich, welche Prothese mir eingesetzt wurde?

Postoperativ werden Sie von unserem Ärzteteam darüber aufgeklärt, welche Prothese Ihnen eingesetzt wurde. Es erfolgt zudem eine Eintragung in den Prothesenpass. Neben dem OP-Datum sind auch Informationen über Art und Größe der Prothese enthalten. Dieses Dokument sollten Sie immer bei sich tragen, denn diese Infos sind ggf. für nachbehandelnde Ärzte von großem Nutzen. Auch bei Reisen (Flugreisen etc.) weist Sie der Ausweis als Träger eines künstlichen Gelenks aus, was z.B. bei der Sicherheitskontrolle relevant ist. 

Wie lange hält eine Knieprothese?

Dank verbesserter Materialien können künstliche Kniegelenke 20 Jahre und länger halten. Dies ist individuell abhängig, beispielsweise von Abnutzungserscheinungen durch hohe Aktivität und Belastung.

Die richtige Implantatwahl

Die echte anatomische Knieprothese

Sehen Sie hier einen Vortrag von Dr. med. Christian Hoeckle, den er im Rahmen des 1. Bergheimer Online-Orthopädietages gehalten hat. In seiner Präsentation geht er auf die Ursachen von Gelenkbeschwerden ein und stellt Ihnen eine ganz besondere Knieprothese vor, die "Physica KR".  Aufgrund ihrer besonderen anatomischen Form, die der des natürlichen Knies stark nachgeahmt ist, gibt diese Knieprothese die komplexen Bewegungsabläufe einer Kniebewegung besonders gut wieder. Durch die individuelle Anpassungsmöglichkeiten führt sie zu sehr guten Ergebnissen für Patienten im Hinblick auf Haltbarkeit, Stabilität und Genesungsdauer.

Verpassen Sie auch nicht die interessante Diskussion ab Minute 11:45 zwischen Prof. Dr. Jörg Robertz, niedergelassener Allgemeinmediziner in Bergheim, Oberarzt Matthias Kirsch und Chefarzt Dr. Hoeckle. Die Mediziner besprechen viele Aspekte rund um das Thema "Knieprothese" und finden Antworten auf die gestellten Zuschauerfragen, beispielsweise wie lange es dauert, um nach einer Knie-OP wieder arbeiten zu können.