Hallux valgus
Der Hallux valgus ist eine Deformität des Vorfußes, bei der die Mittelfußköpfchen auseinanderweichen. Dabei verschiebt sich insbesondere das erste Mittelfußköpfchen in Richtung Körpermitte, während der Großzeh gleichzeitig nach außen abweicht. Das führt zu einer Insuffizienz des Bandapparates im Vorfuß und der typischen Hallux valgus-Fehlstellung. Diese geht vor allem mit belastungsabhängigen Schmerzen, Druckstellen und Problemen bei der Schuhversorgung einher. Ursachen für den Hallux valgus können unter anderem angeborene Faktoren sowie falsches, einengendes Schuhwerk oder Fehlbelastungen sein.
Diagnostik
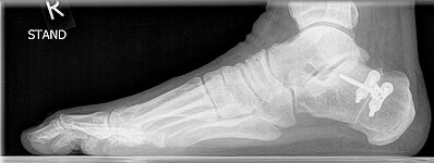
Um festzustellen, ob eine Hallux valgus-Deformität vorliegt, erfolgen zunächst ein Anamnesegespräch sowie eine ausführliche Untersuchung beider Füße in stehender Position. Häufig ist die Erkrankung dabei schon deutlich zu erkennen. Zur Planung der Therapie kommen darüber hinaus Röntgenaufnahmen des betroffenen Fußes zum Einsatz. Eine Schnittbilddiagnostik (CT, MRT) ist in der Regel nicht erforderlich.
Behandlung
Grundsätzlich bestehen beim Hallux valgus viele konservative Therapiemöglichkeiten, darunter Physiotherapie, Einlagenversorgung sowie Hallux valgus-Orthesen. Doch nicht immer führen diese Maßnahmen zu einem zufriedenstellenden Behandlungsergebnis. Dann kann eine operative Korrektur der Fehlstellung notwendig sein.
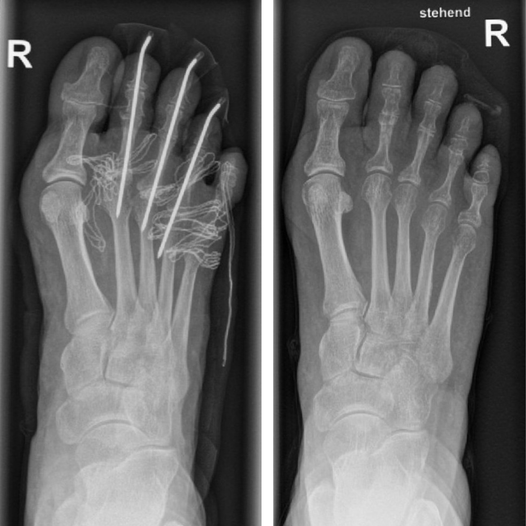
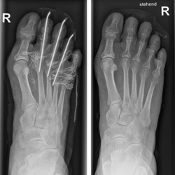
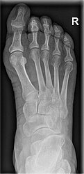
Für die Behandlung eines Hallux valgus stehen je nach Ausmaß der Erkrankung verschiedene Operationstechniken zur Verfügung: Im einfachsten Fall lassen sich das Köpfchen des ersten Mittelfußknochens verschieben (Osteotomie) und Weichteilschäden operativ korrigieren.
In ausgeprägten Fällen kann eine Korrektur im Mittelfuß-Schaftbereich oder sogar eine Versteifung des Verbindungsgelenks zwischen Fußwurzel und Mittelfuß erforderlich werden. Das Ergebnis der Korrektur wird durch spezielle Metallimplantate gesichert. Diese sind dank moderner Entwicklungsmethoden sehr dünn, sodass keine Weichteilirritationen entstehen. Gleichzeitig wird die erforderliche Stabilität gewährleistet.
 |  |
Behandlung eines einfachen Falls des Hallux valgus | Behandlung eines ausgeprägten Falls des Hallux valgus |
Nachbehandlung
Je nach angewandter Operationstechnik erhalten Patienten einen speziellen Vorfußentlastungsschuh, in dem sie den behandelten Fuß vier Wochen lang postoperativ vollbelasten können. Bei aufwendigeren Korrekturen kann eine sechswöchige Teilbelastung in einem Spezialschuh erforderlich sein.
Darüber hinaus kann eine physiotherapeutische Übungsbehandlung sinnvoll sein, um die Beweglichkeit zu verbessern und ein physiologisches Gangbild zu unterstützen. Mittelfristig bestehen keine Einschränkungen gegenüber einem gesunden, nicht operierten Fuß.